Service Client Gratuit :
028086881
Lun-Ven 8h30-18h
Livraison à 4,90€ TTC dès 199€ ttc. Payez en 3X ou 4X sans frais jusqu'à 5000€!

Besoin d'un conseil?
Notre équipe est à votre écoute au 028086881.
Nouveau! Prenez un RDV téléphonique ou visio avec nos conseillers en cliquant ici

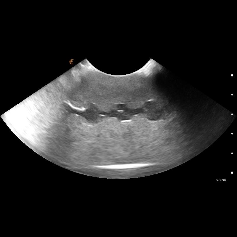
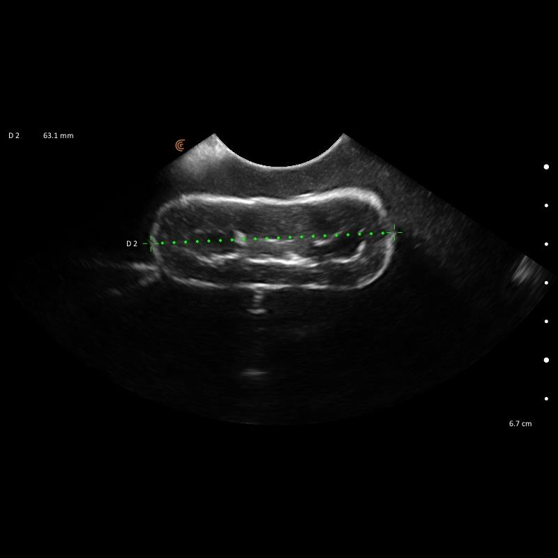
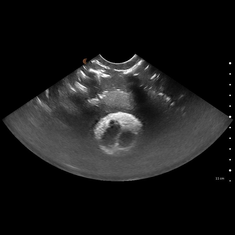
Le kit de formation fantôme à l’échographie canine "Lillie" Erler Zimmer est un outil indispensable pour la formation et la pratique en échographie vétérinaire. Conçu pour reproduire fidèlement l’anatomie canine, il permet aux professionnels de Santé vétérinaires, étudiants et praticiens expérimentés de s’entraîner de manière réaliste sur tous les organes majeurs : cœur, poumons, foie, pancréas, reins, intestins et système vasculaire.
Ce kit complet inclut le module “Skills”, qui enrichit l’apprentissage en proposant des structures anéchogènes, nodules hyperéchogènes et zones d’évaluation, idéales pour simuler des situations cliniques complexes. Le bloc FNA auto-réparant offre la possibilité de pratiquer des ponctions et gestes interventionnels en toute sécurité, garantissant un entraînement répétitif sans patient vivant.
Fabriqué à partir de matériaux innovants qui imitent parfaitement les tissus canins, le fantôme assure une excellente durabilité tout en conservant des propriétés échographiques réalistes. Chaque kit est contrôlé individuellement pour garantir un niveau de qualité élevé avant expédition.
Livré dans une mallette rigide et verrouillable, il offre un transport et un stockage sécurisés. Ce kit de formation à l'échographie Erler Zimmer permet un apprentissage éthique et efficace, combinant précision anatomique, pratique interventionnelle et simulation réaliste.
Que ce soit pour la formation initiale, le perfectionnement ou l’acquisition de nouvelles compétences en échographie vétérinaire, le fantôme Lillie d’Erler Zimmer est un investissement sûr pour améliorer la précision diagnostique, sécuriser vos pratiques et gagner en expertise.
Spécificités :
Simulation complète des organes canins : cœur, poumons, foie, pancréas, reins, intestins, vessie et vaisseaux majeurs.
Module “Skills” avancé : nodules, structures anéchogènes et échogènes, vaisseaux spiraux pour un entraînement ciblé.
Bloc FNA auto-réparant : pratique sécurisée des ponctions répétées.
Matériaux premium : plastique simulant les tissus canins, durable et fidèle aux sensations échographiques.
Apprentissage réaliste et éthique : perfectionnement des gestes et diagnostics sans patient vivant.
Qualité garantie : chaque fantôme inspecté individuellement avant expédition.
Transport et stockage sécurisés : mallette rigide et verrouillable incluse.
| Référence | VET4850 |
|---|---|
| Weight | 15.000000 |
| Garantie | Garantie : 3 ans |
| RefH | 48649RLE |
| Fabricant | Erler Zimmer |
| Country of Manufacture | Chine |